ICPMS
Další informace
WebinářeO násKontaktujte násPodmínky užití
LabRulez s.r.o. Všechna práva vyhrazena. Obsah dostupný pod licencí CC BY-SA 4.0 Uveďte původ-Zachovejte licenci.

ICPMS webináře se zaměřením na FTIR Spektroskopie - strana 1

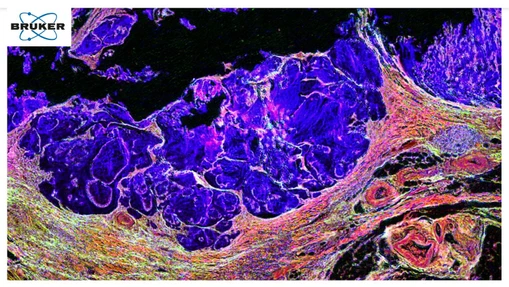
MALDI Imaging Becomes IR-resistible: Going Multimodal for Advanced Biomedical Insights

MALDI Imaging Becomes IR-resistible: Going Multimodal for Advanced Biomedical Insights

Prozkoumejte pokročilé multimodální zobrazování pomocí MALDI, IR založené na QCL a fluorescenční mikroskopii, abyste získali molekulární poznatky zaměřené na ROI v komplexních tkáních.
Po, 30.3.2026 16:00 CET
Bruker
tag
share
more
MALDI Imaging Becomes IR-resistible: Going Multimodal for Advanced Biomedical Insights
Understanding Polymer Reactions and Degradation with FT-IR and EPR Spectroscopy

Understanding Polymer Reactions and Degradation with FT-IR and EPR Spectroscopy

Použijte FT-IR a EPR ke studiu vytvrzování polymerů, reakční kinetiky a radikálových mechanismů při polymeraci a degradaci.
Út, 31.3.2026 17:00 CET
Bruker
tag
share
more
Understanding Polymer Reactions and Degradation with FT-IR and EPR Spectroscopy
Overcoming Raman Microscopy Challenges in Microplastics and Life Sciences

Overcoming Raman Microscopy Challenges in Microplastics and Life Sciences

Zjistěte, jak spektroskopie O-PTIR překonává omezení fluorescence v Ramanově mikroskopii. Objevte simultánní submikronovou IR a Ramanovu analýzu pro mikroplasty, biologické vzorky a náročné organické materiály.
St, 1.4.2026 17:00 CEST
C&EN
tag
share
more
Overcoming Raman Microscopy Challenges in Microplastics and Life Sciences
Advances in AFM for the Characterization of 2D Materials

Advances in AFM for the Characterization of 2D Materials

Zjistěte, jak AFM umožňuje komplexní charakterizaci 2D materiálů v nanoměřítku.
St, 8.4.2026 17:00 CET
Bruker
tag
share
more
Advances in AFM for the Characterization of 2D Materials
What’s in your hydrogen? Analytical toolkits for fuel purity analysis

What’s in your hydrogen? Analytical toolkits for fuel purity analysis

Zúčastněte se tohoto webináře a dozvíte se, jak postupy založené na metodách GC, GC-MS, IC a FTIR podporují bezpečnou a normám vyhovující výrobu vodíku.
St, 22.4.2026 10:00 CEST
SelectScience
tag
share
more
What’s in your hydrogen? Analytical toolkits for fuel purity analysis
FTIR in Action: From Spectroscopy Fundamentals to Oil and Grease Analysis in Water

FTIR in Action: From Spectroscopy Fundamentals to Oil and Grease Analysis in Water

Webinář o základech FTIR a analýze olejů a tuků ve vodě s využitím extrakce ClearShot™ a přístroje Agilent Cary 630 pro rychlé a spolehlivé testování životního prostředí.
Út, 28.4.2026 20:30 CEST
Agilent Technologies
tag
share
more
FTIR in Action: From Spectroscopy Fundamentals to Oil and Grease Analysis in Water
A Workshop on Substrates and Software tools for Microplastics Analysis using the LDIR

A Workshop on Substrates and Software tools for Microplastics Analysis using the LDIR

Tento workshop se bude zabývat různými substráty používanými při analýze mikroplastů a zaměří se na osvědčené postupy při měření vzorků a na funkce softwaru
Čt, 7.5.2026 19:00 CEST
Agilent Technologies
tag
share
more
A Workshop on Substrates and Software tools for Microplastics Analysis using the LDIR
Seeing Through the Barrier: Practical Limits and Best Practices for Raman Sample, Container, and Test Conditions

Seeing Through the Barrier: Practical Limits and Best Practices for Raman Sample, Container, and Test Conditions

Zjistěte, co lze a co nelze měřit pomocí Ramanovy spektroskopie s technologií SORS. Dozvíte se, jak typ vzorku, jeho balení a podmínky měření ovlivňují výsledky a kdy může být lepší volbou analýza pomocí FTIR.
Čt, 4.6.2026 19:00 CEST
Agilent Technologies
tag
share
more
Seeing Through the Barrier: Practical Limits and Best Practices for Raman Sample, Container, and Test Conditions
Microplastic Analysis in Water Using Vibrational Spectroscopy: Navigating ISO/FDIS 16094-2 standards

Microplastic Analysis in Water Using Vibrational Spectroscopy: Navigating ISO/FDIS 16094-2 standards

Naučte se, jak implementovat normu ISO/FDIS 16094-2 pro analýzu mikroplastů ve vodě pomocí vibrační spektroskopie.
ZÁZNAM
|
Proběhlo Čt, 12.3.2026
C&EN
tag
share
more
Microplastic Analysis in Water Using Vibrational Spectroscopy: Navigating ISO/FDIS 16094-2 standards
Microplastics in Wastewater: A Population Based Approach to Identifying Potential Sources

Microplastics in Wastewater: A Population Based Approach to Identifying Potential Sources

V rámci uzavřeného systému čištění odpadních vod bylo použito LDIR ke stanovení množství mikroplastů v různých bodech procesu čištění.
ZÁZNAM
|
Proběhlo Út, 24.2.2026
Agilent Technologies
tag
share
more
Microplastics in Wastewater: A Population Based Approach to Identifying Potential Sources
 

Mohlo by Vás zajímat

LabRulez na veletrhu analytica 2026

LabRulez na veletrhu analytica 2026

Po, 23.3.2026
LabRulez
Webináře LabRulezICPMS týden 13/2026

Webináře LabRulezICPMS týden 13/2026

Po, 23.3.2026
LabRulez
Podcast CHEmic #75 – IT bylo dříve záležitostí nadšenců, dnes jde o klíčovou součást vědy

Podcast CHEmic #75 – IT bylo dříve záležitostí nadšenců, dnes jde o klíčovou součást vědy

Pá, 20.3.2026
Ústav organické chemie a biochemie AV ČR
Další projekty
GCMS
LCMS
Sledujte nás
FacebookLinkedInYouTube
Další informace
WebinářeO násKontaktujte násPodmínky užití
LabRulez s.r.o. Všechna práva vyhrazena. Obsah dostupný pod licencí CC BY-SA 4.0 Uveďte původ-Zachovejte licenci.